Kalp Krizi ve Tedavisi
- Anasayfa
- Kalp Krizi ve Tedavisi
KALP KRİZİ NEDENLERİ
Nedenler
Kalp krizinin nedeni genellikle koroner arterlerden birinde pıhtı oluşması ve bu pıhtının arteri tıkayarak kalp kasına kritik düzeyde oksijen ve besin gitmemesine yol açmasıdır.KALP KRİZİ TEDAVİLERİ
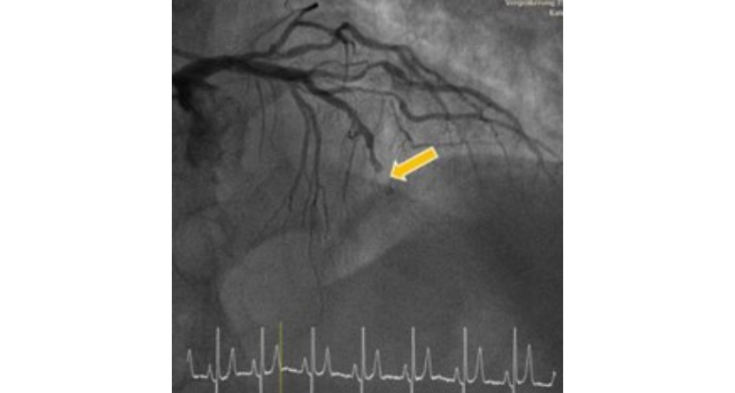
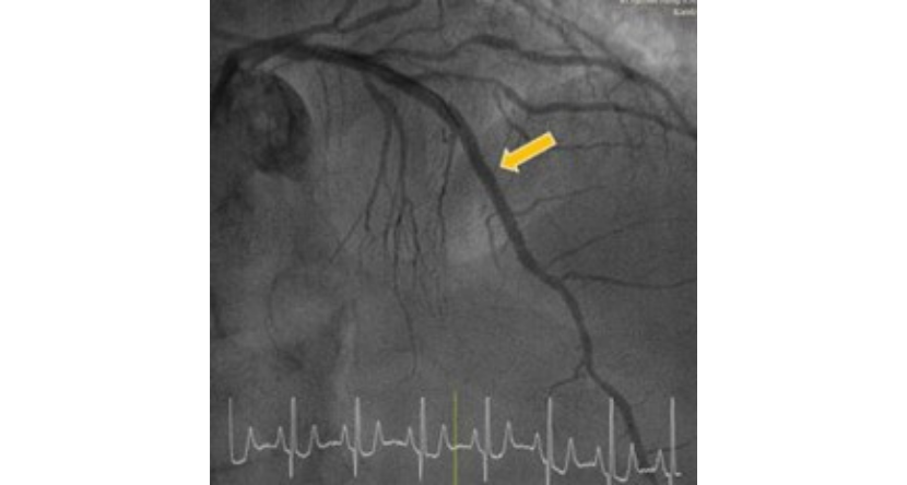
Balon dilatasyonu ve stent implantasyonu
En etkili yöntem, tıkalı koroner arterin balon dilatasyonu ve stent implantasyonu ile koroner anjiyografidir.Acil kalp kateterizasyonu (koroner anjiyografi) sırasında, tıkalı koroner arter ince bir tel ile incelenir ve ardından balon dilatasyonu ve stent implantasyonu ile tekrar açılır. Bu, kalp kasının etkilenen bölgesine kan akışını geri kazandırır ve iyileşme sürecini başlatır.


İlgili Hastalıklar ve Durumlar
Koroner Arter Hastalığı
Koroner arterler, kalp kasına (miyokard) oksijen ve besin sağlayan temel damarlardır. Bu arterlerin daralması, kalp kasına ulaşan kan akışının azalmasına yol açar ve genellikle egzersizle ortaya çıkan göğüs ağrısı (angina pektoris) ile kendini gösterir.
Koroner BT Anjiyografi (Sanal Anjiyografi)
Koroner damarların detaylı görüntülenmesini sağlayan non-invaziv bir yöntemdir. Bu sayede damar tıkanıklıkları, daralmalar ve diğer kalp sorunları güvenli ve hızlı bir şekilde tespit edilebilir. Tanı konduktan sonra, uygun tedavi planı uzman doktorunuz tarafından oluşturulur.
“ Her hastamızın hikayesi farklıdır.
Bu yüzden tedavi sürecinizi size özel planlıyoruz.
Gelişmiş tanı yöntemleri, modern teknoloji ve insan odaklı yaklaşımla kalp sağlığınızı güvenle emanet edebilirsiniz. Kalbiniz bize emanet.”
Doç. Dr. Halil AKIN
Girişimsel Kardiyolog
Kalp ve damar hastalıklarında erken tanı ve etkili tedaviyle sağlığınızı koruyoruz.
Her hastamız için en uygun, en güvenli çözümü sunuyoruz.